:::|
Tunghai University-News--Colorectal cancer research of the Department of Life Science is quoted by Cell journal.
Colorectal cancer research of the Department of Life Science is quoted by Cell journal.
- Department : THUPR
- Category :
- View : 1611
- Date : 2017-07-31
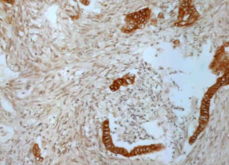
Cancer metastasis and recurrence have always been a major cause of death for cancer patients. The process of cancer cells leaving their original tumor location to metastasize is very complicated, making it one of a key issue for scientific research. With the support of the Ministry of Science, the Department of Life Science of Tunghai University created a colorectal cancer research team that recently has made an important discovery. Professor Wei-Ting Chao’s research discovered that colorectal cancer cells tend to perform collective cell migration, which influences the metastasis and survival rate of cancer cells greatly. This research finding was acknowledged by the well-known American cancer researcher, Robert A. Weinberg, in his latest report, and the report was published in the most prestigious journal in the field, namely “Cell.” (Lambert AW, Pattabiraman DR and Weinberg RA. Emerging
Biological Principles of Metastasis. Cell. 2017. 168(4):670-691)
In past research on cancer migration, scientists mostly focused on single cell migration, related DNAs, and protein adjustments. In Professor Chao’s clinical samples and cell and animal experiments, he noticed that colorectal cells migrate in groups, during which the movements of the cells differ from those during single cell migration. For example, the E-cadherin of cells not only provides constructive support during the migration, but also sends out information to other cells as a cancer infector. What is more, a type of transport protein, Rab11, also serves as an important factor in transporting E-cadherin.
In the current target therapy for colorectal cancer, patients might have mutated DNAs like K-RAS or BRAF that is resistant to the medicine used. Following Professor Chao’s discovery, the drugs for target therapy for colorectal cancer will be able to suppress the migration of colorectal cancer cells, and could also be used for patients with mutated DNAs. So far, the Development Center for Biotechnology has developed a new target treatment that is currently being tested.
(The colorectal cancer research team of Tunghai’s Department of Life Science includes Professor Wei-Ting Chao, Yu-Chen Tsai, and Ming-li Hsieh. They are in clinical cooperation with Cheng Ching Hospital and Changhua Christian Hospital. Currently, the integration project lead by Professor Hsieh under the supervision of the Ministry of Science has achieved significant research findings on the relationship between glucose metabolism and treatments for colorectal cancer.)